产品特点
|
|
|
相比常规浓缩方式,能有效提高样本的回收率、稳定性及活性。 | 使用灵活,可根据自身样品体积来适当增减介质使用量。 | 操作方便,操作时间短 |
产品用途
(1)适用于大部分生物大分子稀样的浓缩。
(2)如无血清培养的细胞上清、抗体等生物制品的小量浓缩及尿液、脑脊液等生物诊断样本的小量浓缩检测(血浆不可用)
运输与储存
(1)保存条件:常温干燥
(2)建议操作温度:25℃。
产品数据
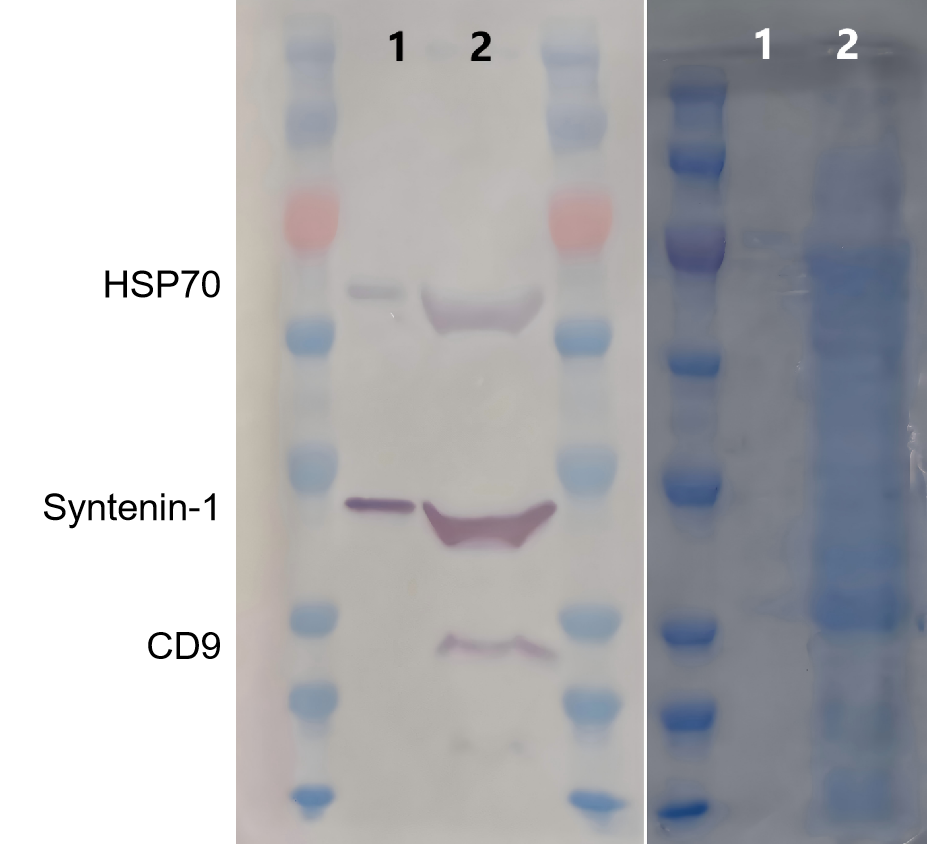
(1)-1蛋白类浓缩:

通过同时检测这三种蛋白,该分析实现了全面验证浓缩试剂盒的性能:有效富集外泌体本身(CD9)、其关键合成组件(Syntenin-1)及其重要的功能货物(HSP70),为后续基于尿液外泌体的疾病生物标志物研究奠定基础。右侧的考马斯染色胶则从总蛋白层面直观展示了浓缩的巨大效果,提供了更全面的样本信息。HSP70、Syntenin-1和CD9的组合巧妙地涵盖了外泌体研究的多个关键层面(存在性、生物发生机制、功能货物/标志物潜力),是评估尿液外泌体浓缩效果和进行下游应用探索的强有力且信息丰富的标志物组合。
(1)-2蛋白温和浓缩:

在相同的0.08%辛酸的敏化条件下,缩霸®大分子快速颗粒浓缩组(CG)的蛋白损失率明显低于超滤(CL),超滤浓缩蛋白损失率远远高于缩霸®大分子快速颗粒浓缩组,可以得出缩霸®大分子快速颗粒浓缩组(CG)在此环境下优于超滤组(CL)。缩霸®大分子快速颗粒浓缩组(CG)在浓缩此种敏化蛋白的使用情景下,能达到比超滤(CL)更温和有效的浓缩功能。
(2)核酸类浓缩:
在尿液中投入已知浓度的DNA marker提取测试凝胶电泳(浓缩前后对比)


在尿液中投入相同浓度与长度的dsDNA[50bp、100bp、200bp]浓缩前后提取测试毛细管电泳(浓缩后[右]稀释到浓缩前[左]的浓度)